At Grove Small Animal Hospital, we focus on keeping your pets healthy through every stage of life. Our Preventive Care services help catch issues early and protect against illness, so your pets can enjoy their best life by your side.
Dental disease is one of the most common problems in dogs and cats and can lead to pain, infection, and even organ damage if left untreated. At Grove Animal Hospital, our dental services include:
For trusted dental products approved for dogs and cats, visit the Veterinary Oral Hea
At Grove Small Animal Hospital, we provide safe, compassionate surgical care for your pets. Our experienced team uses modern techniques and monitoring to ensure your pet’s comfort every step of the way.
Common Procedures:
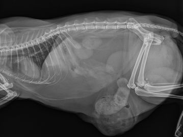
At Grove Small Animal Hospital, we’re proud to offer advanced diagnostic imaging to support the health and wellbeing of your pets.
Our digital radiography (X-ray) system allows us to capture high-quality images quickly and safely—helping us diagnose everything from fractures to internal conditions with clarity and precision.
For more complex cases, we collaborate with board-certified radiologists who can provide expert interpretations to ensure your pet gets the most accurate diagnosis possible.
At Grove Small Animal Hospital, we’re excited to offer abdominal ultrasound services to provide a deeper look inside your pet’s health. Ultrasound is a gentle, non-invasive way to evaluate organs such as the liver, kidneys, bladder, and more—helping us detect and monitor internal conditions without the need for surgery.
Echocardiogram Services to come in 2026!
At Grove Small Animal Hospital, we’re proud to offer veterinary acupuncture as a gentle, holistic way to support your pet’s health and comfort. This time-tested therapy can help with arthritis, mobility issues, pain management, post-surgical recovery, and senior pet wellness.

At Grove Small Animal Hospital, we know how hard it is to say goodbye to a beloved pet. Our team provides compassionate, personalized support focused on comfort, dignity, and peace.
We offer quality of life consultations, pain management, and peaceful euthanasia services—either in our clinic or at home (based on availability). If you’re uncertain about timing, the Lap of Love Quality of Life Scale is a helpful tool for assessing your pet’s comfort and daily enjoyment.
Bringing home a new furry family member is exciting—and we’re here to help you start this adventure on the right paw! At Grove Small Animal Hospital, our team loves helping puppies and kittens grow into happy, healthy adults. a description about this item
AOur pets deserve comfort and quality of life at every age. At Grove Small Animal Hospital, we offer specialized senior care to keep aging pets happy and healthy. From wellness exams and lab work to pain management and nutrition, we tailor care to your pet’s needs.a description about this item
Whether you’re away for a weekend or an extended trip, your pet will feel right at home at our Grove Bed & Breakfast. We offer comfortable, climate-controlled accommodations, daily playtime, and plenty of love and attention from our caring team. Our guests enjoy personalized care, regular feedings, and medication administration if needed—all under the supervision of our veterinary staff.
Copyright © 2025 Grove Small Animal Hospital - All Rights Reserved.
We use cookies to analyze website traffic and optimize your website experience. By accepting our use of cookies, your data will be aggregated with all other user data.